2月24日,中国医学科学院阜外医院窦克非教授成功应用微亚医疗科技(苏州)有限公司(以下简称“微亚医疗”)全自主研发的“微亚冠通”微创血管介入手术机器人完成世界首例全程机器人辅助冠状脉造影手术。

窦克非主任手术团队术后合影
01
本次冠脉造影手术受试患者为55岁女性,反复胸闷气短症状,需开展冠状动脉造影。在简单的对患者局部麻醉和在微亚冠通手术机器人上安装好5FTig导管后,窦克非主任在导管室外通过微亚冠通手术机器人的操作台,对导管、导丝进行全程操控。窦克非主任利用手术机器人快速、精确地将造影导管递送至受试者心冠血管的冠状动脉开口,在造影导管内注射造影剂,从而顺利完成受试者冠状动脉造影手术。目前已上市的同类产品,需要人工手动将导管送到升主动脉根部,再进行机器人辅助操作。
的同类产品,需要人工手动将导管送到升主动脉根部,再进行机器人辅助操作。
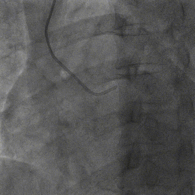
推送导丝导管影像 造影导管通过锁骨下动脉影像 左冠寻路影像 左冠造影影像 右冠寻路影像 右冠造影影像





本次冠脉造影手术成功验证了微亚医疗血管介入手术机器人对现有冠脉造影术式的临床价值,这主要包括:
● 全程机器人操作,医生不受DSA辐射:医生在导管室外进行操作,手术过程中术者受到辐射量为0;
● 机器准备时间短:手术开展前仅需5分钟便可完成全部安装,且机器模块设计精巧,易于医生理解和操作;
● 手术操作稳定:有了机械手臂的配合,大大的提高了手术的精确度,故而降低了术后并发症的概率。
本次冠脉造影手术的成功标志着微亚医疗在血管介入手术机器人领域的技术创新在临床上获得了验证。“微亚冠通”成为国内首款通过自主研发,实现冠脉造影术式临床应用突破的手术机器人,同时也完成了世界首例机器人全程辅助的冠状动脉造影。
02
阜外医院窦克非教授对本次冠脉造影手术给予了高度评价,他表示:“由于冠脉造影手术量大,临床医生一直期待手术机器人能够实现冠脉造影及PCI介入治疗一体化,且在操作上要快速、稳定。我们团队非常荣幸能够参与微亚医疗的人体临床试验,相信冠脉造影手术的成功有助于推动手术机器人在冠脉介入手术应用上的临床推广。基于多年的临床合作,我们认为微亚医疗的手术机器人已具备扎实的冠脉介入手术应用能力,也期待微亚医疗血管介入手术机器人能于不久的将来在远程治疗临床应用中落地,造福患者。”
窦克非主任团队使用机器人开展手术
微亚医疗成立于2021年,专注于研究和开发用于微创血管介入手术所需的新型医疗器械及耗材,是一家致力于开发国际尖端血管介入手术机器人的高新科技企业。微亚医疗已推出全新一代血管介入手术机器人,可同时开展冠脉、神经及外周术式的造影及介入治疗。技术方面,公司拥有全新独创的递送技术,在递送精度、稳定性、安全性等关键领域实现突破性升级,可全面满足医生介入临床需要。公司产品已受到国内多位顶级专家认可、临床进度国内领先。

窦克非主任

