来源:医械一线
 

近日,以心医疗自主研发的全球首个聚合物瓣膜Polymer TAVR项目在获得2022年全国颠覆新技术创新大赛最高奖——“优胜奖”后,该司全球首个Polymer TAVR SIKELIAᵀᴹ便进行了临床试验。

01
经股动脉Polymer TAVR SIKELIAᵀᴹ

植入术临床试验成功完成

据悉,2月26日,云南省阜外心血管病医院潘湘斌执行院长,在结构病区潘家华主任,杨宏波教授,王首正教授,朱达教授,超声科骆志玲主任全力协作下,成功完成高难度二叶瓣病人的经股动脉Polymer TAVR SIKELIAᵀᴹ临床试验,该病例为西南首例。
 
其术中提供的产品由上海以心医疗提供的全球首创Polymer TAVR SIKELIAᵀᴹ。且此次成功植入便充分证明该产品的易用性、安全性和可靠性,也标志着由葛均波院士牵头全球首创的Polymer TAVR SIKELIAᵀᴹ 临床试验进度进一步引领全球。
 
全球首个,高分子经股主动脉瓣介入术例临床试验成功完成
据悉,本次入院治疗的患者为二叶瓣患病者,患者76岁,男性,在云南省阜外心血管病医院行经股动脉Polymer TAVR SIKELIAᵀᴹ移植术。
入院记录
  • 美国胸外科协会(STS)评分8.1; 
 
  • 超声显示:主动脉瓣重度狭窄,
    瓣口面积约0.7cm²,平均跨瓣压差42mmHg,升主动脉扩张; 
 
  •  
    CT显示:Type 0型二叶瓣,瓣环直径21.6mm,钙化右冠居多,
    HU 1052下显示钙化积分为 492mm³。AA角 51°。
    建议左侧入路,髂外仍有小段直径较小,且髂总处有钙化。

     

     

     

术前评估
  • 术前瓣环评估:
全球首个,高分子经股主动脉瓣介入术例临床试验成功完成
  • 术前入路评估:
全球首个,高分子经股主动脉瓣介入术例临床试验成功完成
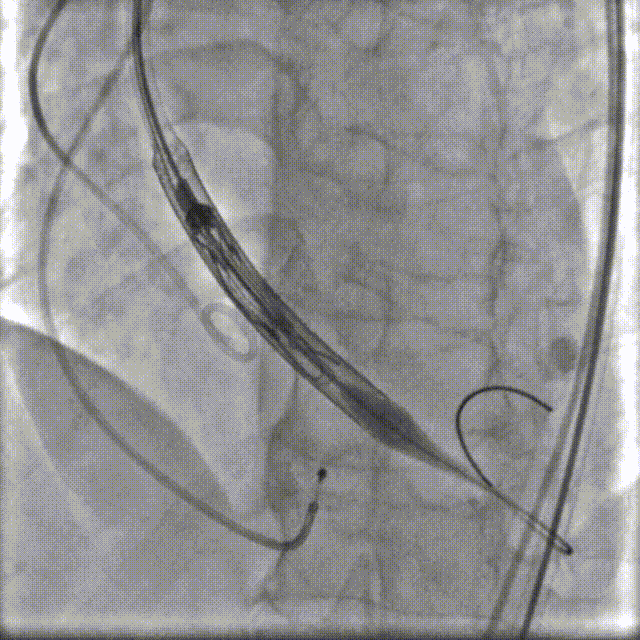
手术过程
其手术过程涵盖LCX支架植入、主动脉根部造影、18球囊预扩、器械进入、释放至紧线状态、松线、器械撤出后造影、下肢动脉造影及术后超声多普勒以下这几个步骤。
  • LCX支架植入
全球首个,高分子经股主动脉瓣介入术例临床试验成功完成
  • 主动脉根部造影 LAO 20 CRA 20
全球首个,高分子经股主动脉瓣介入术例临床试验成功完成
  • 18球囊预扩
全球首个,高分子经股主动脉瓣介入术例临床试验成功完成
  • 器械进入
全球首个,高分子经股主动脉瓣介入术例临床试验成功完成
  • 释放至紧线状态

全球首个,高分子经股主动脉瓣介入术例临床试验成功完成
  • 松线
全球首个,高分子经股主动脉瓣介入术例临床试验成功完成
 
  • 器械撤出后造影
全球首个,高分子经股主动脉瓣介入术例临床试验成功完成
  • 下肢动脉造影
全球首个,高分子经股主动脉瓣介入术例临床试验成功完成
  • 术后超声多普勒
全球首个,高分子经股主动脉瓣介入术例临床试验成功完成
其手术过程顺利,器械操作顺畅。术后造影显示,瓣膜工作状态良好,无瓣周漏及跨瓣压差。冠脉无阻塞,无传导阻滞,手术圆满成功。

02

高分子材料瓣叶

Polymer TAVR SIKELIAᵀ

在上述术中应用设备移植前,以往的TAVR瓣叶使用为猪或牛的心包组织(也称生物瓣膜)。虽动物心包组织被临床应用多年,证明其有较好的耐久性及抗栓性能,但使用寿命仍有一定局限性(一般8-10年),其原材料加工缝合要求和成本高,且纯手工生产导致生产效率受限,质量一致性不高。
具有划时代意义的产品---高分子(Polymer)瓣膜,具有良好的抗钙化、防血栓、及生物安全性能,启闭无噪音,伴随材料科学在该应用领域的突破,高分子(Polymer)瓣膜材料的自动化生产不仅弥补了动物心包瓣膜能效的不足,并能极大降低材料及制造成本,提到产品质量的一致性。
 
全球首个,高分子经股主动脉瓣介入术例临床试验成功完成
生物瓣膜
 
同时在体外模拟实验中,结果显示高分子(Polymer)瓣膜使用寿命比传统牛心包瓣膜更长久(达20~25年)。且此次成功植入的瓣就为合成高分子材料瓣叶的经股主动脉瓣置换产品 Polymer TAVR SIKELIAᵀᴹ。
SIKELIAᵀᴹ经股主动脉瓣置换系统采用以心医疗自主研发的高分子材料瓣叶,相比传统的动物心包瓣叶材料,具有零钙化、低凝血、高生物相容性的优点。SIKELIAᵀᴹ产品植入后理论寿命能达到20-25年,适合更年轻的病人,大大扩展了同类产品的适用人群范围。

该设备从生产工艺上,可实现全自动化工业生产,产品原材料成本大大降低,合格率显著提升。其支架设计采用独有的记忆合金丝铆接结构、不依赖于径向支撑力固定、大网格设计等特点。同时该瓣膜还拥有预装、全可回收的特性,其100%可回收的产品特性极大保证了病人手术过程中的安全性。

03
心血管创新医疗械企以心医疗
 
以心医疗(MitrAssist Lifesciences Limited)是全球第一批致力于二尖瓣介入置换系统研发的公司,在心血管领域拥有丰富的产品线布局,致力于成为国际领先的心血管创新型综合类平台公司,为中国乃至全球心血管患者提供更加安全,经济,有效的器械产品。
公司全线产品拥有全球知识产权布局。公司拥有以色列研发中心和上海总部运营生产基地,具备完整的研发、测试、生产、临床、注册法规、学术推广、市场营销以及战略整合能力。管理团队具有多年心血管医疗行业管理经验。
该司现有员工约50人,拥有多名包括博士、硕士在内的微创伤介入医疗器材产品开发与生产方面的专业人才,管理团队心血管领域和研发团队心血管领域平均工作时间均超过15年。
其公司配备了精密、自动化程度高的加工设备及检测设备、现代化实验室等,拥有符合国家生产Ⅲ类植入产品标准的净化车间。
里程牌
以心医疗(MitrAssist)最早成立于2009年,是全球第一批致力于二尖瓣介入置换系统研发的公司,全球首个D-shape瓣膜技术发明人。
 
2014年由中国产业资本控股,2016年由中国资深产业团队收购并完成战略整合。
 
全球首个,高分子经股主动脉瓣介入术例临床试验成功完成
2017年设立上海全球运营总部,完成A轮融资,并引入全球领先的心血管冠脉介入治疗产品线,将公司打造为国际领先的心血管创新型综合类平台公司。
 
2020年完成B轮融资并持续深入产品临床研究与产品推广。截止目前已融资两轮共9500万美元(约合人民币6.58亿元)。
全球领先的产品
目前,该司为全球领先的心血管创新医疗器械平台型企业。其产品主要涵盖介入心脏瓣膜治疗产品,介入冠脉药物球囊产品,以及介入心衰治疗产品,均为拥有全球知识产权且技术全球领先的产品。
 
  • 介入心脏瓣膜治疗产品为经导管二尖瓣介入置换系统TMVR

 
该研发始于2009年,团队最早提出D-shape的设计理念且进行了全球专利布局。其同一瓣膜支持经心尖及经股静脉两种输送路径,同时置换系统Profile是全球尺寸最小,目前已经成功完成多例FIH。
全球首个,高分子经股主动脉瓣介入术例临床试验成功完成
 
  • 介入冠脉药物球囊产品为冠状动脉药物涂层球囊DCB

该产品源自德国的第四代药涂技术平台,可以延伸至外周DCB 、透析DCB等领域。冠脉DCB即将开展多中心临床实验,独家定点定量精确涂布技术,药物血管转移率远超同类产品。
 
全球首个,高分子经股主动脉瓣介入术例临床试验成功完成
其该司介入心衰治疗产品目前处于在研进展涵盖介入二尖瓣/三尖瓣修复系统、新一代介入主动脉瓣置换系统、颈动脉脑血栓保护器(用于经导管主动脉瓣置换术术中)以及心房分流系统(心衰治疗)。
且TAVR目前已是临床应用非常成熟的技术,利用微创的经导管方式治疗主动脉瓣疾患(包括狭窄和反流),在心脏不停跳状态下,将人工瓣膜压缩在导管(输送系统)中,经由股动脉等入路,沿主动脉输送至主动脉瓣环的位置,释放人工瓣膜,以替代原来病变的瓣膜来进行开启和关闭。
全球首个,高分子经股主动脉瓣介入术例临床试验成功完成
其与传统外科换瓣手术相比创伤小、恢复快、并发症少,且能达到与外科手术一致甚至更优的效果。TAVR植入的人工瓣膜主要包括两个部分,一个是瓣架,一个是功能瓣叶。前者起到固定人工瓣膜的作用,后者是功能部件,实现人工瓣膜的启闭功能。
 
且目前市场TAVR瓣叶使用为猪或牛的心包组织(也称生物瓣膜)较多。其有较好的耐久性及抗栓性能,但使用寿命仍有一定局限性(一般8-10年),而高分子(Polymer)瓣膜,具有良好的抗钙化、防血栓、及生物安全性能,启闭无噪音。且使用寿命较生物瓣膜更长久(达20~25年)并能极大降低材料及制造成本
此次,以心医疗全球首例经股动脉Polymer TAVR SIKELIAᵀᴹ临床试验成功完成,也标志着将国有品牌进一步引领全球。未来该创新设备能否实现商业化替代市场的生物瓣膜?后续医械一线将持续关注。

END
 

 

医疗器械品类众多,可分为高值医用耗材、低值医用耗材、医疗设备、 IVD(体外诊断)四大类。根据使用场景和功能不同,高值医用耗材细分为骨科植入、血管介入、神经外科、眼科、电生理与起搏器等等。根据技术原理和功能差异,医疗设备可分为诊断设备(影像诊断如 DR、彩超、磁共振)、治疗设备 (各类手术器械、放射治疗机械)等;医疗器械细分领域虽差异巨大,但是每一个环节都需要其参与,医疗器械的制备涵盖高分子材料、电子、模具注塑、机械、生命科学等。欢迎加入艾邦医疗器械产业交流群探讨:

作者 808, ab